About our research group/lab
Our research
Background
Established in 2012, LungAnalysis is a structured collaboration between the Departments of Pediatric/Adult Pulmonology, Radiology and Nuclear Medicine, and Bioimaging Group Rotterdam (BIGR). LungAnalysis was founded by Prof. Dr. Harm Tiddens, who has been engaged in pulmonary structural and functional research since 1991. Since 2023, Dr. Daan Caudri has served as director of LungAnalysis, with Asst. Prof. Dr. Pierluigi Ciet as vice director.
Image Analyses
Chest CT outcome measures are becoming increasingly important in both clinical research and trials for cystic fibrosis (CF). Bronchiectasis, mucus plugging, and trapped air are well-validated outcome measures in CF, but traditional scoring systems are time-consuming and semi-quantitative. LungAnalysis co-developed and validated a sensitive alternative image analysis method, PRAGMA-CF, for scoring chest CT scans in both children and adults, through an ongoing collaboration with the Telethon Kids Institute in Perth, Australia. PRAGMA-CF has now been successfully used as a primary outcome measure in two large studies (RCTs in young children) and has proven significantly more sensitive in detecting early CF lung changes compared to previously used semi-quantitative scoring methods.

Over the years, LungAnalysis has adapted PRAGMA-CF scoring to a wide range of pulmonary diseases, and currently serves as an essential component of LungAnalysis’s image analysis portfolio: PRAGMA-BPD for bronchopulmonary dysplasia scoring, BEST-CT for bronchiectasis scoring, MERAGMA-PCD for primary ciliary dyskinesia scoring, PRAGMA-NTM for non-tuberculous mycobacteria infection scoring, and PRAGMA-PiBO for post-infectious bronchiolitis obliterans scoring. Additionally, LungAnalysis has extended these scoring methods to chest MRI with adaptations such as PRIME based on PRAGMA-CF and MERGE based on PRAGMA-BPD.
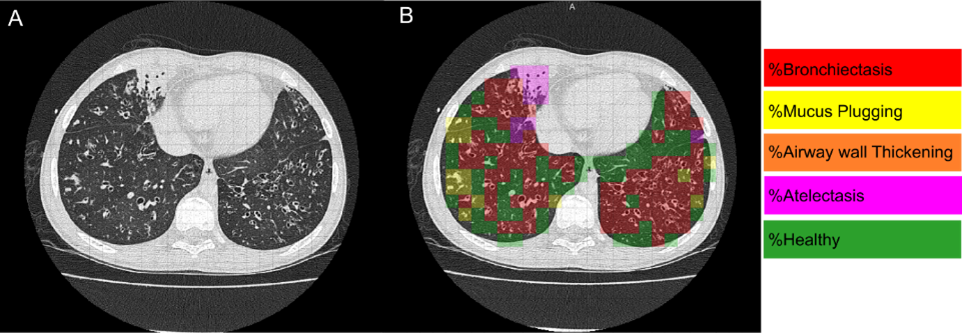
LungAnalysis has been working towards developing automated tools to quantify lung structural abnormalities. The lab has ongoing collaborations with Thirona B.V. (Nijmegen), a Dutch company specializing in cutting-edge artificial intelligence strategies for quantitative lung imaging. Together, LungAnalysis and Thirona co-developed a fully automated, sensitive system to measure bronchial widening, bronchial thickening, mucus plugging, and trapped air on chest CT. The algorithm has been integrated into Thirona’s certified software platform, LungQTM, which is installed on the virtual platform DRE at LungAnalysis, Erasmus MC. Current work on the validation of the automated tools is ongoing in a wide range of lung diseases, including CF.

Standardization of Chest CT Protocols
To make an optimal use of chest CT in research as well as clinical/patient care, standardization of image acquisition protocol is essential. LungAnalysis has successfully standardized over 200 participating centers worldwide, facilitated through an interactive website developed by LungAnalysis. LungAnalysis continues to provide training to centers globally.
Service Units
LungAnalysis operates through three core activities, each categorized into distinct service units.
- Academic Research: Comprehensive range of academic research support, including standardizing protocols, image analysis, image analysis training, tool development, automation, validation, and clinical integration.
- Non-academic Research: Efficient and cost-effective image analysis services for (non-)pharmaceutical industries.
- Clinical/Patient Care: Accurate and reliable quantitative image analysis services for (inter-)national medical centers
Our projects
LungAnalysis has developed and validated a wide range of imaging biomarkers for various pulmonary lung diseases, meticulously ensuring their reliability and accuracy against established clinical metrics.
CT Image Analysis
- ENRICH
- FORMAT
- EMBARC
- FINGERPRINT
- FIXIT
- BPD Cohot Sophia
- I-BALL
- PiBO
MR Image Analysis
- M-ILD
- ADVANCER
- WALHIP
Key Publications
- Pieters ALP, van der Veer T, Meerburg JJ, Andrinopoulou ER, van der Eerden MM, Ciet P, Aliberti S, Burgel PR, Crichton ML, Shoemark A, Goeminne PC, Shteinberg M, Loebinger MR, Haworth CS, Blasi F, Tiddens HAWM, Caudri D, Chalmers JD. Structural Lung Disease and Clinical Phenotype in Bronchiectasis Patients: The EMBARC CT Study. Am J Respir Crit Care Med. 2024 Jul 1;210(1):87-96.
- Pederiva F, Rothenberg SS, Hall N, Ijsselstijn H, Wong KKY, von der Thüsen J, Ciet P, Achiron R, Pio d'Adamo A, Schnater JM. Congenital lung malformations. Nature Review Disease Primers 2023 Nov 2;9(1):60.
- Lv Q, Gallardo-Estrella L, Andrinopoulou ER, Chen Y, Charbonnier JP, Sandvik RM, Caudri D, Nielsen KG, de Bruijne M, Ciet P, Tiddens H. Automatic analysis of bronchus-artery dimensions to diagnose and monitor airways disease in cystic fibrosis. Thorax 2023 Dec 15;79(1):13-22.
- Chen Y, Lv Q, Andrinopoulou ER, Gallardo-Estrella L, Charbonnier JP, Caudri D, Davis SD, Rosenfeld M, Ratjen F, Kronmal RA, Stukovsky KDH, Stick S, Tiddens HAWM; on behalf the SHIP-CT study group. Automatic bronchus and artery analysis on chest computed tomography to evaluate the effect of inhaled hypertonic saline in children aged 3-6 years with cystic fibrosis in a randomized clinical trial. J Cyst Fibros. 2023 Sep;22(5):916-925.
Collaborations
Collaboration within Erasmus MC
- Biomedical Imaging Group Rotterdam
- Pulmonary Medicine
- Generation R
- Immunology
Collaboration Outside of Erasmus MC
- Thirona B.V., AI Medical Image Analysis, Nijmegen, the Netherlands
Funding & Grants
- Dr. Daan Caudri: American CF Foundation, setting up European network to collect CT data on structural lung diseases to be included in the European CF Society – Patient Registry (ECFS-PR), ENRICH project, 2023 - 2028.
- Dr. Daan Caudri: Stichting Astma Bestrijding (SAB). Developing and validating an AI-supported chest CT score to diagnose Post-infectious Brochiolitis Obliterans (PiBO) in children, 2024 - 2026.
- Assistant Prof. Dr. Pierluigi Ciet: Dutch Research Council (NWO), VENI grant, MRI in Interstitial Lung Disease (M-ILD), 2023 - 2026.
- Assistant Prof. Dr. Pierluigi Ciet: European AIC Pathfinder, VLF-3D Spiro MRI, low field MR chest imaging, 2023 - 2026.
Career opportunities
Our team
Principal Investigator
- Dr. Daan Caudri
Director, LungAnalysis
- Asst. Prof. Dr. Pierluigi Ciet
Vice Director, LungAnalysis
LungAnalysis staff
- Drs. Punit Makani, Head of LungAnalysis
- M.Sc. Jorien van de Puttelaar, Project Manager
- M.Sc. Merlijn Bonte, Lead Image Analyst
LungAnalysis PhD student
- M.Sc. Ieva Aliukonyte
- M.Sc. Pranali Raut
- M.Sc. Cristina Cretu
- M.Sc. Federico Mollica