About our Department
Our research
About us
The Department of Clinical Genetics at Erasmus MC is a leading center for research, diagnostics, education and innovation in genetic disorders. Scientific excellence and clinical expertise are combined to advance genomic medicine and improve patient outcomes.
Research focus areas
Our work spans a broad spectrum of genetic research, with four core lines:
> Genomics and Mechanism of Brain Disorders
> Genomics and Mechanism of Rare Systemic Disorders
> Translational & Functional Genomics
> Prevention and (Genetic) Therapies
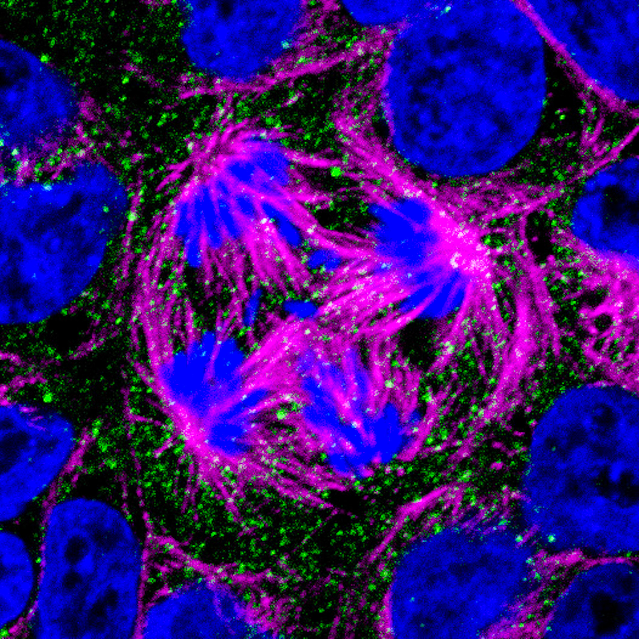
We focus on rare diseases, which collectively affect up to 10% of the population. Our research addresses neurodevelopmental and metabolic disorders, congenital anomalies, neurological and cardiological conditions, and rare and inherited cancer. Using genome analysis, deep phenotyping, and functional assays in cellular and in vivo models, we uncover the molecular and cellular mechanisms underlying these conditions. This knowledge drives the development of targeted therapies, including gene therapy, cell therapy, and antisense oligonucleotide (ASO) approaches.
Technologies
Our department has implemented the integration of whole-exome sequencing, RNA sequencing, and both short- and long-read whole-genome sequencing into routine diagnostics. Our translational methodologies include a diverse array of ‘omic’ technologies, including metabolomics, transcriptomics, methylomics and proteomics. These approaches are instrumental in diagnosing genetic diseases, biomarker discovery, and elucidating disease mechanisms. Analytical and interpretative processes are supported by advanced computational biology approaches, including deep-learning and other AI-driven approaches.
Education and public engagement
We are also strongly committed to education and public engagement. Our research master’s program Genomics in Society, explores the societal dimensions of genetics, and we collaborate with industry to promote equitable access to advanced therapy medicinal products through the ‘Academic Pharma’ model.
Our team
Our team is multidisciplinary, diverse, and driven. We bring together clinicians, researchers, and educators—many of whom are young leaders in their field—to work collaboratively across disciplines. Guided by Rotterdam’s direct and determined mindset, we focus on turning scientific insights into practical clinical solutions for our patients.
Our ambition
Our ambition is clear: consolidating our position as a world-leading genomic medical center and integrating cutting-edge research and compassionate care for individuals with genetic diseases.
Lead Researchers
-
T. (Tjitske) Kleefstra, Professor, MD
Department Head and professor Clinical Genetics
-
Y. (Ype) Elgersma, Professor
Principal Investigator, Vice-chair and sector head of Research of the dept. of Clinical Genetics
-
M.M. (Maria) Alves, PhD
Assistant Professor, Principal Investigator
-
T.S. (Stefan) Barakat, MD PhD
Researcher
-
A.J. (Atze) Bergsma, PhD
Senior researcher, assistant professor
-
V.B. (Vincenzo) Bonifati, Professor, MD, PhD
Principal Investigator
-
E. (Erwin) Brosens, PhD
Assistant professor, Principal investigator, Program manager
-
A.C.M. (Annelot) van Esbroeck, PhD
Assistant Professor
-
T.J. (Tjakko) van Ham, Associate professor
Associate professor
-
I.M.B.H. (Ingrid) van de Laar, MD, PhD
Principal Investigator
-
K. (Kristina) Lanko, PhD
Assistant professor
-
W. (Wim) Mandemakers, PhD
Assistant Professor
-
W.W.M. (Pim) Pijnappel, Professor
Professor of Cell and Gene Therapy, Head of Molecular Stem Cell Biology Group
-
S. (Sam) Riedijk, PhD
Principal Investigator
-
L.E. (Leslie) Sanderson, PhD
Assistant Professor
-
G.J. (Gerben) Schaaf, PhD
Principal Investigator
-
V. (Vyne) van der Schoot, MD
Principal Investigator
-
M.I. (Gosia) Srebniak, PhD
Principal Investigator
-
J.M.A. (Judith) Verhagen, MD, PhD
Principal Investigator
-
V.J.M. (Virginie) Verhoeven, MD, PhD
Principal Investigator
-
A. (Anja) Wagner, MD, PhD
Principal Investigator
-
G.M. (Geeske) van Woerden, Associate Professor
Principal Investigator


















