Amelogenesis Imperfecta: over deze aandoening
Wat is Amelogenesis Imperfecta?
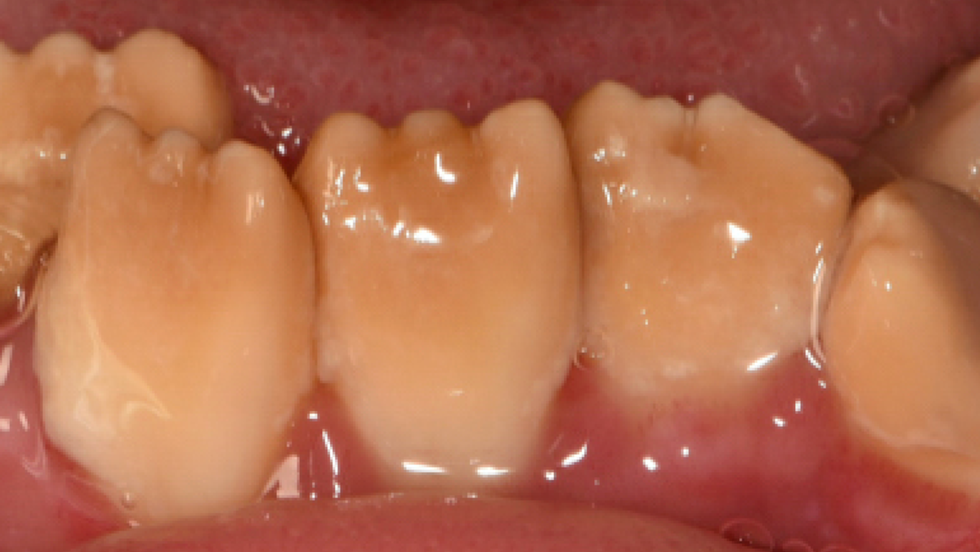
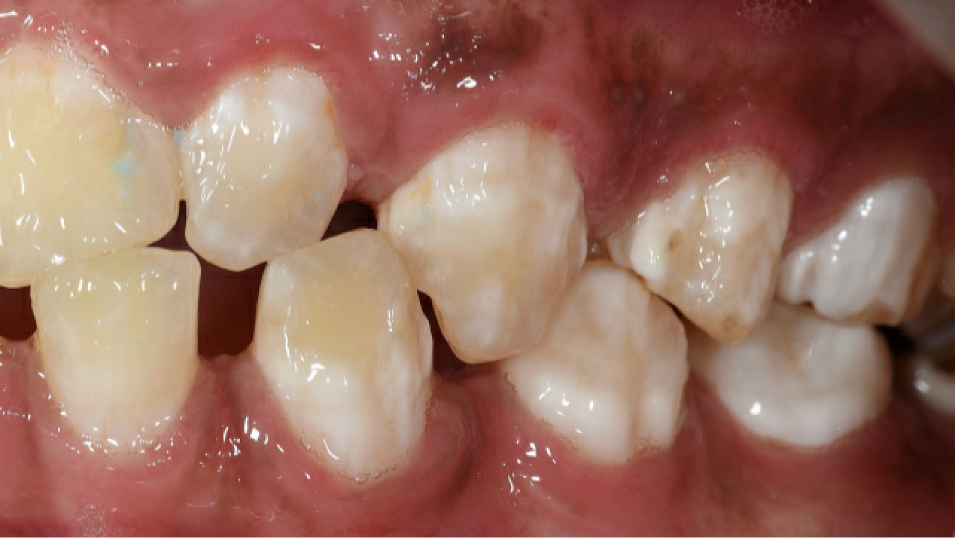
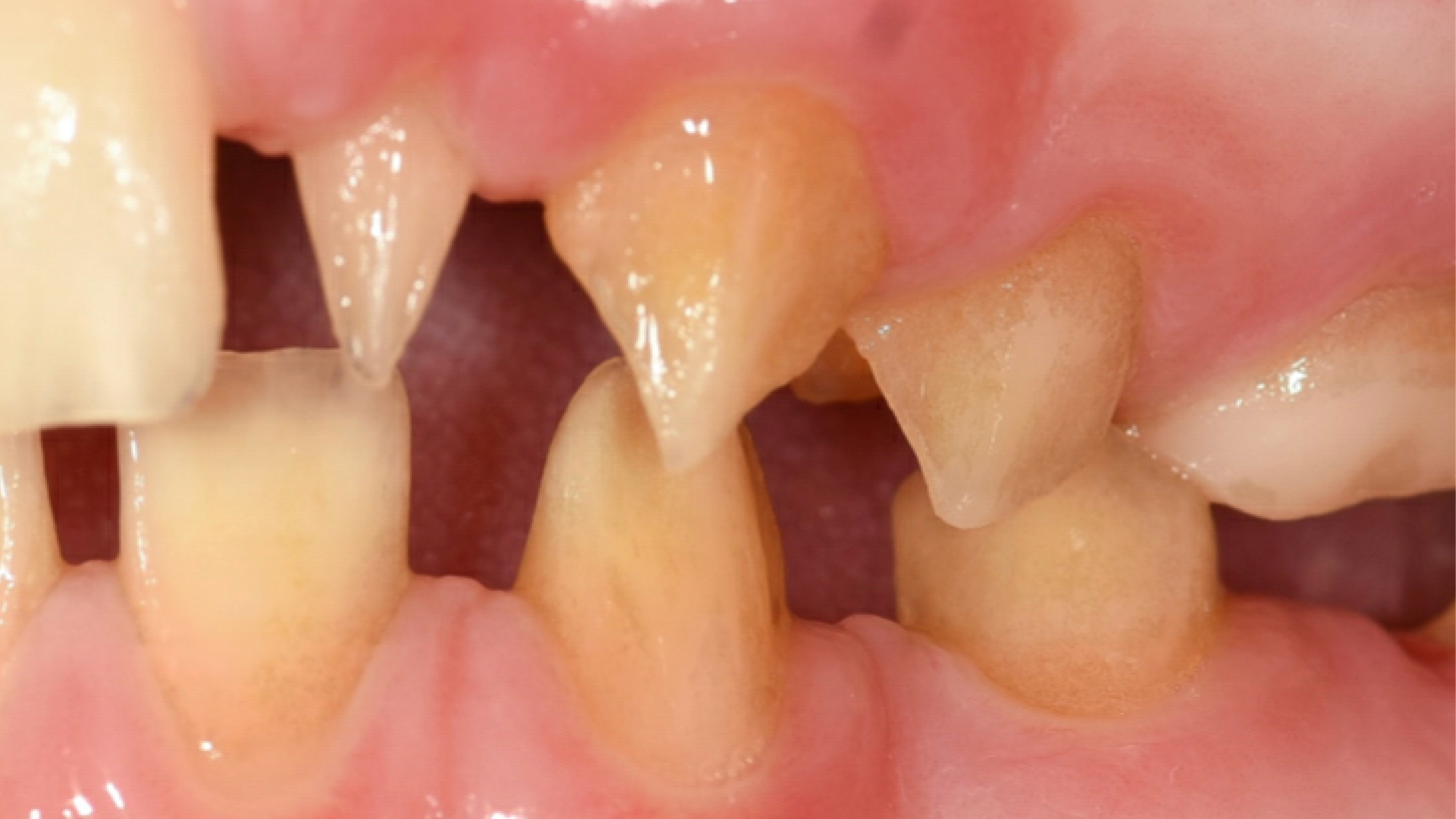
Bij amelogenesis imperfecta is het glazuur van de tanden niet goed gevormd. De aandoening komt voor bij melktanden en bij blijvende tanden. Het glazuur is dunner, zachter of minder hard dan normaal. Daardoor zijn de tanden gevoeliger en slijten ze sneller.
Mensen met deze aandoening kunnen pijn hebben bij koud, warm of zoet eten en drinken. Ook tandenpoetsen kan soms gevoelig zijn. De klachten verschillen per persoon. Bij sommige mensen gaat het alleen om verkleuring, bij anderen ook om pijn of beschadiging van de tanden.
Soms is amelogenesis imperfecta onderdeel van een syndroom. Dan kunnen ook andere delen van het lichaam betrokken zijn, zoals haar, nagels, gehoor of nieren. Het is belangrijk om dit op tijd te herkennen, zodat de juiste zorg kan worden gegeven.
Hoe vaak komt het voor?
Amelogenesis imperfecta is zeldzaam. In Europa wordt geschat dat ongeveer 1 op de 8.000 tot 1 op de 10.000 kinderen met deze aandoening wordt geboren.
In Nederland worden elk jaar ongeveer 20 tot 21 kinderen met amelogenesis imperfecta geboren. Naar schatting leven er in Nederland ongeveer 1.800 mensen met deze aandoening.
Soorten
Er zijn vier hoofdtypen van amelogenesis imperfecta:
1.Hypoplastisch type: te weinig glazuur
Er wordt te weinig glazuur gevormd.
- Het glazuur is dun maar meestal hard
- Het oppervlak kan ruw zijn
- Er kunnen kleine putjes of lijntjes zichtbaar zijn
2. Hypomineraliseerd type: te zacht glazuur

Het glazuur is wel gevormd, maar niet sterk genoeg.
- De tanden zijn vaak geel of bruin
- Het glazuur is poreus en zwak
- De tanden zijn vaak gevoelig
3. Hypomatuur type: glazuur hardt niet goed uit

Het glazuur is gevormd, maar hardt niet goed uit.
- De tandvorm is meestal normaal
- De kleur is wit tot bruin
- Het glazuur kan na doorbraak afbreken
4. Gemengd type: meerdere problemen tegelijk

Soms komen meerdere vormen tegelijk voor. De klachten kunnen per tand verschillen.
Oorzaak
Symptomen en gevolgen
Bij jonge kinderen valt vaak al op dat de tanden:
- geel, bruin of wit zijn
- snel slijten of afbrokkelen
- gevoelig zijn bij kou of warmte
- ruw of dof eruitzien
- pijn doen bij het poetsen.
Sommige kinderen hebben moeite met kauwen. Ook kunnen zij zich schamen voor hun gebit.
Bij volwassenen kunnen klachten blijven bestaan of toenemen. Dit kan invloed hebben op eten, praten en zelfvertrouwen.

