Over dit centrum
Wat we doen
In ons centrum behandelen we kinderen en volwassenen met oligodontie, een aandoening waarbij bij de geboorte te weinig tanden en kiezen zijn aangelegd. Dit kan variëren van het missen van enkele tanden en kiezen tot het ontbreken van alle tanden en kiezen. Oligodontie wordt officieel gediagnosticeerd wanneer er zes of meer tanden ontbreken, met uitzondering van de verstandskiezen.
Wij doen er alles aan om patiënten met oligodontie een zo mooi en functioneel mogelijk gebit te geven.
De behandeling bestaat uit de volgende onderdelen:
- Beugelbehandeling
We plaatsen een beugel om de tanden en kiezen van de boven- en onderkaak in de juiste positie te brengen. - Tanden en kiezen worden vervangen met een implantaat, gedragen kronen of een gebitsprothese
Deze keuze wordt gemaakt in overleg tussen de arts en de patiënt.
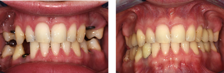
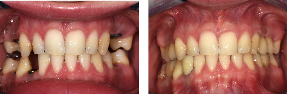
Op de onderstaande foto ziet u een gebit voor en na behandeling

Wat maakt dit centrum bijzonder?
In ons centrum werken verschillende specialisten intensief samen, waaronder orthodontisten, kaakchirurgen en tandartsen. Door deze nauwe samenwerking kunnen wij patiënten de best mogelijke zorg bieden, ook wanneer zij een complexe vorm van oligondontie hebben.
Onderontwikkeling kaken
Een voorbeeld van een complexe aandoening waar wij veel expertise in hebben, is de onderontwikkeling van de onder- of bovenkaak. Onze kaakchirurgen hebben veel ervaring met de operaties die nodig zijn om deze onderontwikkeling te corrigeren.
Meervoudige aandoeningen
Daarnaast zien we ook veel patiënten met meerdere aandoeningen of waarbij verschillende organen betrokken zijn, zoals bij de erfelijke aandoening ectodermale dysplasie. Hierbij zijn huid, haar, nagels en tanden van de patiënt onvoldoende ontwikkeld. Doordat wij nauw samenwerken met andere specialismen in het ziekenhuis kunnen we het best mogelijke behandelplan opstellen.
Aandoeningen en ziektebeelden
In ons centrum behandelen we verschillende vormen van de aandoening oligodontie. Bij deze aandoening worden er bij de geboorte te weinig tanden en kiezen aangelegd. Er ontbreken meer dan zes tanden en kiezen (waarbij verstandskiezen niet meetellen).
Oligodontie kan het gevolg zijn van genetische factoren, ontwikkelingsstoornissen of andere medische aandoeningen. Oligodontie komt bijvoorbeeld vaak voor bij patiënten met ectodermale dysplasie.
Wij behandelen alle vormen van oligodontie en kijken per patiënt wat de best mogelijke behandeling is.
Samenwerking
Wetenschappelijk onderzoek
Wij willen de zorg voor patiënten met oligodontie verder verbeteren en investeren daarom in wetenschappelijk onderzoek.
Zo hebben wij onderzoek gedaan naar de genetische oorzaak van gebitsontwikkeling. Uit dit onderzoek bleek dat er meerdere genen betrokken zijn bij de ontwikkeling van het gebit. Met deze kennis kunnen wij de oorzaak van oligodontie verder ontrafelen en werken aan nieuwe behandelingen voor toekomstige patiënten. Dit onderzoek verscheen in 2023 in het Journal of Dental Research.